Review of intertrochanteric and subtrochanteric hip fractures. Ortho Reviews - Flashcard

Ortho Reviews - Image

Basicervical femoral neck, intertrochanteric (IT), and subtrochanteric (ST) hip fx are different from femoral neck fractures in that they are extracapsular.

Extracapsular fractures, unlike intracapsular femoral neck fractures, have a low likelihood of blood supply disruption/AVN

Ortho Reviews - Image

Anatomy:
The calcar femorale is an extension of cortical bone from the proximal shaft to the posteromedial femoral neck. It aids in weight distribution from the hip to the proximal femoral shaft.

The subtrochanteric region extends 5 cm below the lesser trochanter.

Ortho Reviews - Image

Deforming forces on IT and ST Fractures:

GT: proximally & laterally (hip abductors)
LT: proximally & medially (iliopsoas)
Distal Fragment: proximally & medially (adductors/hip flexors)

Ortho Reviews - Image

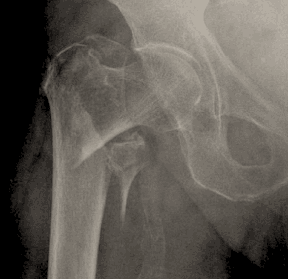
Atypical ST fractures are associated with prolonged bisphosphonate use (alendronate).

Features of atypical ST fractures:
✯ Diaphyseal cortical thickening
✯ Medial fracture spike
✯ Transverse/short oblique pattern

Ortho Reviews - Image

It is important to determine whether an intertrochanteric fracture is stable or unstable as this helps guide treatment.

Unstable fracture patterns:
Posteromedial comminution (calcar disruption)
Reverse obliquity fracture
Large posteromedial fragment
Subtrochanteric Extension

Ortho Reviews - Image

Treatment of intertrochanteric hip fractures depends on the stability of the fracture.

Stable intertrochanteric and basicervical fractures are commonly treated with sliding hip screws (left) or short cephalomedullary nails (right).

Ortho Reviews - Image

To reduce the risk of hardware failure and screw cut out the tip-to-apex distance may be utilized.

Of note: the tip-to-apex distance was utilized for sliding hip screws but is commonly adopted for cephalomedullary nails.

Ortho Reviews - Image

The tip-to-apex distance is the distance from the tip of the lag screw to the apex of the femoral head.

It is measured on both AP and Lateral views and the sum of the two distances should be < 25 mm.

If the combined distances are > 45 mm there's as high as a 60% failure rate.

An example of hardware failure/lag screw cut out is shown below.

Ortho Reviews - Image

In general, unstable intertrochanteric fractures and subtrochanteric fractures are both treated with long cephalomedullary nails.

Ortho Reviews - Image

Complications:
Hardware failure/screw cut-out
Loss of reduction
Shortening/malrotation of the leg

Full Review and Conversation on X Ortho Reviews - Flashcard









Ortho Reviews - Intertrochanteric and Subtrochanteric Fractures