An in-depth review of Tibial Plateau Fractures.
Question:
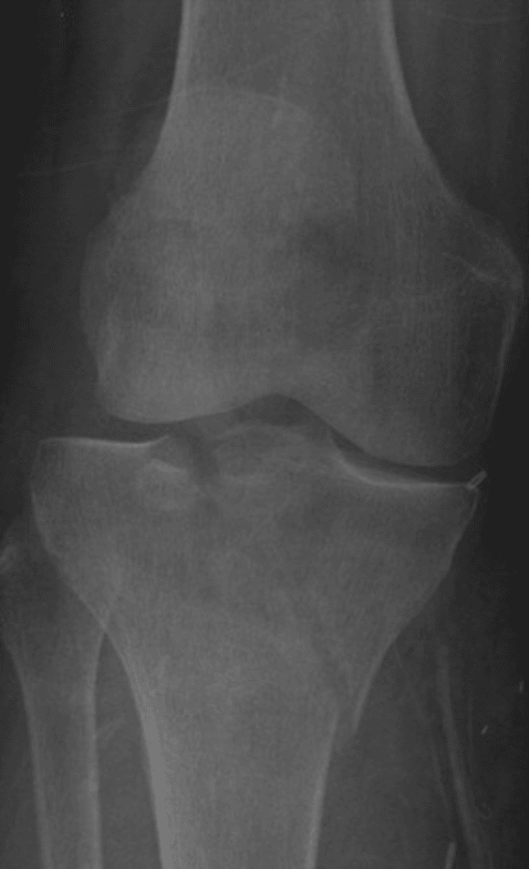
How would you grade this fracture based on the Schatzker classification system?
View Answer
Next
The correct answer is:
This is a medial tibial plateau fracture, this would be a type IV.